HeLa : L'Invasion Accidentelle de Baltimore

Comment une femme analphabète a envahi tous les laboratoires du monde... et un canard congelé de 20 ans

Dans votre laboratoire d'analyses médicales, il y a probablement des cellules d'une femme morte il y a 74 ans. Dans celui de Tokyo aussi. Et de Moscou. Et de Sydney. Cette invasion planétaire accidentelle commence par un sandwich au thon, un canard congelé depuis vingt ans, et une pause-déjeuner qui n'a absolument rien changé à l'histoire de la médecine.

Si vous pouviez empiler toutes les cellules HeLa jamais cultivées, elles pèseraient 50 millions de tonnes - l'équivalent de 100 Empire State Buildings. Alignées bout à bout, elles feraient trois fois le tour de la Terre. Tout ça parti du col de l'utérus d'Henrietta Lacks, une femme de 1m50 qui ne savait ni lire ni écrire.

Le mystère d'un nom que personne n'a jamais résolu (1920-1941)

L'histoire commence par une énigme que ni sa famille, ni les historiens n'ont jamais résolue. Loretta Pleasant naît le 1er août 1920 dans une baraque surplombant le dépôt de train de Roanoke, en Virginie. À un moment de sa vie, Loretta devient Henrietta. Quand ? Pourquoi ? Mystère total.

Portrait d'Henrietta Lacks dans les années 1940

Henrietta Lacks dans les années 1940 : "lovey dovey" selon ses cousins, elle dégage cette assurance teintée de malice qui caractérisait sa personnalité. Cette femme de 31 ans ne se doutait pas qu'elle allait révolutionner la médecine mondiale

Quand Henrietta a quatre ans, sa mère Eliza meurt en accouchant de son dixième enfant. Son père Johnny, incapable de gérer dix gosses, les éparpille chez divers parents à 200 kilomètres au sud-est. Henrietta atterrit chez son grand-père Tommy Lacks, dans une cabane en rondins - anciennes cases d'esclaves. Elle partage sa chambre avec son cousin David "Day" Lacks, neuf ans, son futur mari.

Routine quotidienne : lever 4h pour traire les vaches, marcher 3km jusqu'à l'école "pour enfants de couleur" en dépassant l'école des Blancs où les gamins lui jettent des pierres. École abandonnée en sixième pour les champs de tabac. Premier enfant à 14 ans. Mariage à 21 ans. Une vie qui semble programmée pour l'anonymat.

Le sandwich au thon qui n'a rien changé (29 janvier 1951)

Le 29 janvier 1951, Day conduit Henrietta et leurs trois petits à Johns Hopkins - 32 kilomètres de route. Le Dr Howard Jones découvre une tumeur de la taille d'une pièce, couleur "grape Jell-O". En 30 ans de carrière, il n'a jamais rien vu de pareil. Il découpe un échantillon sans demander - pratique standard de l'époque.

Pendant ce temps, au laboratoire de George Gey, Mary Kubicek, 21 ans, mange tranquillement son sandwich au thon. Le labo ressemble à une cuisine industrielle : boîtes de café géantes, congélateurs remplis de sang, placentas, tumeurs, souris mortes... et au moins un canard congelé depuis plus de vingt ans qu'il gardait d'un voyage de chasse parce qu'il ne rentrait pas dans son congélateur à la maison.


L'Absurdité du Quotidien

Imaginez : George Gey révolutionne la médecine mondiale, ses techniques sauvent des millions de vies... mais son laboratoire ressemble à une brocante scientifique avec des décennies d'objets hétéroclites entassés. C'est exactement ce genre de détail dérisoire qui rend l'histoire humaine si fascinante : les plus grandes découvertes naissent parfois dans le chaos du quotidien le plus banal.

Mary finit son sandwich, suit les protocoles stricts de sa patronne Margaret (une ex-infirmière psycho-rigide), découpe l'échantillon d'Henrietta en carrés d'un millimètre, les place sur des caillots de sang de poulet, étiquette "HeLa" et range le tout dans la machine roulante de Gey.

Résultat : Contrairement à tous les échantillons précédents qui mouraient en quelques jours, les cellules d'Henrietta se divisent toutes les 20-24 heures et poussent "comme du chiendent". Mais ce n'est pas grâce au sandwich au thon !

George Gey : 20 ans d'obsession et un canard congelé

Henrietta Lacks et Dr George Otto Gey

Henrietta Lacks (à gauche) et le Dr George Otto Gey (à droite) : elle ne le sut jamais, mais ses cellules réaliseraient enfin le rêve de 20 ans du scientifique obsédé

George Gey, 1m95, fils d'immigrés allemands, a passé huit ans à finir sa médecine - il n'arrêtait pas de manquer d'argent pour payer les frais. Il bossait comme charpentier et maçon entre les cours. Pendant 20 ans, il a tenté sans succès de faire pousser des cellules humaines, filmant méthodiquement chaque échec avec sa caméra 16mm.

Sa méthode ? Nourrir les cellules avec du sang de poulet (visites hebdomadaires aux abattoirs pour récupérer fœtus de veau et sang frais), les faire tourner dans son "roller drum" - tambour rotatif de 2 tours/heure pour imiter le mouvement des fluides corporels.

Son équipement ? Une caméra de 12 pieds construite avec des pièces de casse automobile, des éviers faits main avec des pierres ramassées dans une carrière locale. Un bricoleur de génie dans un laboratoire de fortune.


Margaret la Terreur

Sa femme Margaret, ex-infirmière chirurgicale, terrorisait le personnel avec ses protocoles de stérilisation. Mary Kubicek "redoutait les cris stridents de Margaret" si elle violait une règle. C'est Margaret qui a éduqué George sur la contamination - lui n'y connaissait rien en microbiologie !

Résultat de 20 ans d'efforts : que des échecs filmés. Jusqu'au jour où les cellules d'Henrietta arrivent et explosent littéralement dans ses tubes. Gey, extatique, commence immédiatement à distribuer HeLa gratuitement à tout scientifique intéressé. Il ne brevète rien, ne gagne rien. Un idéaliste qui perd le contrôle de sa découverte.

L'expansion silencieuse : HeLa conquiert le monde (1952-1965)

Pendant qu'Henrietta agonise et meurt à l'automne 1951, ses cellules conquièrent discrètement la planète. Jonas Salk a besoin de tester son vaccin antipolio ? Parfait, HeLa adore le virus de la polio et le reproduit à l'infini. L'usine de production à l'Institut Tuskegee embauche principalement des techniciennes noires pour cultiver les cellules d'une femme noire - l'ironie de l'histoire.

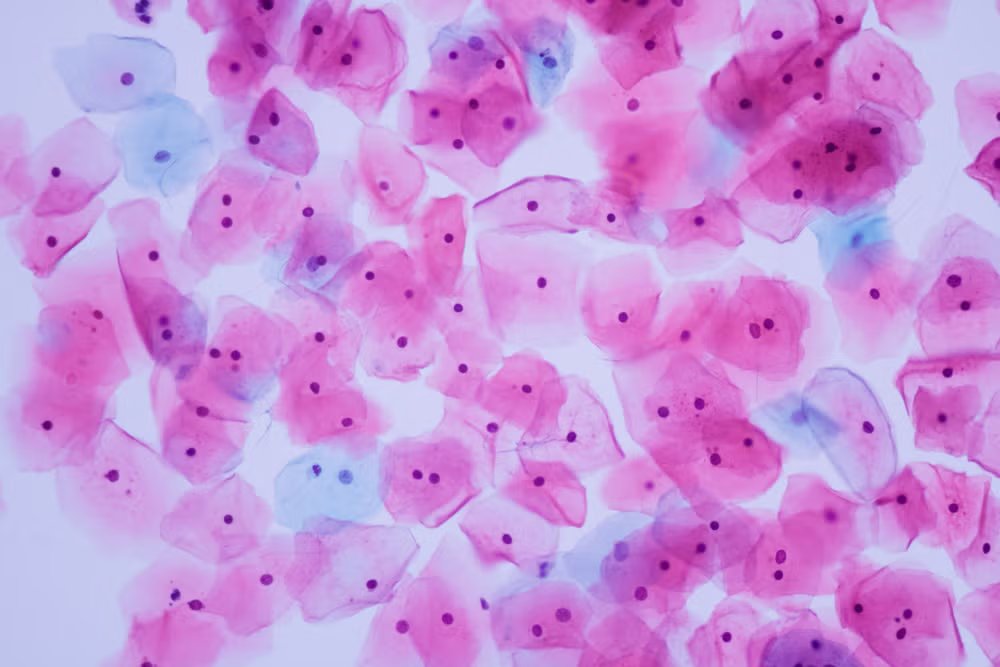
Cellules HeLa vues au microscope

Les cellules HeLa sous microscope : roses et violettes, elles se multiplient sans fin depuis 1951, défiant toutes les lois de la mortalité cellulaire connues à l'époque

L'expansion devient planétaire : HeLa envoyée dans l'espace avec deux souris blanches pour tester les effets de l'apesanteur, utilisée par l'armée près des tests atomiques pour étudier la radioactivité et ses effets sur les cellules humaines, achetée par millions par les entreprises cosmétiques pour tester leurs produits.

Pendant ce temps, à Baltimore : les cinq enfants d'Henrietta grandissent dans la pauvreté, sans assurance maladie, ignorant totalement que leur mère devient la femme la plus célèbre - et la plus utilisée - de l'histoire scientifique. Il faudra 24 ans pour qu'un journaliste de Rolling Stone révèle enfin qui était vraiment HeLa.

Les premiers signes étranges : quand les cellules "mutent" (1960s)

Vers le milieu des années 60, un phénomène bizarre commence à inquiéter les scientifiques du monde entier. Des lignées de cellules normales, cultivées depuis des années, se transforment soudainement en cellules cancéreuses agressives. On appelle ça la "transformation spontanée".

Des cellules de sein deviennent cancéreuses du jour au lendemain. Des cellules de poumon aussi. Des cellules normales posées à l'air libre se métamorphosent mystérieusement en tumeurs malignes. Les biologistes sont perplexes - est-ce que toutes les cellules humaines portent un cancer latent ?

En réalité, c'était une contamination massive par HeLa. Mais personne ne le sait encore.

La bombe du Bedford Springs Hotel (1966)

Septembre 1966. Bedford Springs Hotel, Pennsylvanie - un des derniers grands hôtels spa du XIXe siècle américain. Dans les salons somptueux se réunissent les "giants of biotechnology" pour la Seconde Conférence Décennale sur la Culture de Tissus et d'Organes. L'ambiance est à l'optimisme : les lignées cellulaires vont révolutionner la médecine.

Au micro, Stanley Gartler paraît nerveux. Ce qu'il va annoncer pourrait "faire s'effondrer ce domaine en pleine expansion". Dans la salle : George Gey lui-même, Leonard Hayflick (créateur des cellules WISH à partir du placenta de sa propre fille), Robert Chang et ses fameuses cellules de foie...


La révélation choc

Gartler annonce froidement que les 18 lignées cellulaires les plus utilisées au monde sont toutes identiques. Toutes ont le même marqueur enzymatique - une forme trouvée uniquement chez les Afro-Américains. Conclusion inéluctable : vous travaillez tous avec les cellules d'Henrietta Lacks.

"Si vous pensez travailler avec des cellules de sein, vous vous trompez. Si vous pensez travailler avec des cellules de poumon, vous vous trompez. Vous travaillez avec des cellules d'utérus féminin, c'est tout."

Le choc dans la salle est palpable. Questions désespérées, scientifiques qui tentent frénétiquement de le contredire. Des carrières entières bâties sur de fausses cellules vont s'effondrer.

Le carnage scientifique : 500 publications à la poubelle

Après la conférence, une poignée de scientifiques retourne tester ses propres lignées. Résultat : contamination massive. Leonard Hayflick découvre que ses cellules WISH - créées à partir du placenta de sa propre fille Susan - sont en réalité du HeLa. Robert Chang voit sa réputation détruite quand sa "Chang Liver" révèle les chromosomes caractéristiques d'HeLa.

Plus de 80 lignées cellulaires contaminées dans le monde, 500 publications scientifiques erronées, 20 millions de dollars de recherche gaspillés — un désastre silencieux qui avait germé pendant des années.

Comment c'était possible ? HeLa est une cellule invasive : une seule cellule échappée par erreur, soufflée par un courant d'air, transportée sur des mains non lavées ou des pipettes sales, suffit à contaminer toute une culture. HeLa croît plus vite que n'importe quelle autre cellule et prend le contrôle complet en quelques jours.

Beaucoup de scientifiques refusent d'y croire. Les réactions vont "de l'acceptation gracieuse à l'hostilité agressive". Certains détruisent des années de travail et préviennent honnêtement leurs collègues. D'autres nient et continuent à publier avec leurs fausses cellules.

Walter Nelson-Rees : le Sherlock Holmes des cellules

Walter Nelson-Rees prend le relais de Gartler avec une technique plus précise : l'analyse chromosomique. Ce fils de diplomates né à Cuba se surnomme lui-même "le Ralph Nader du monde cellulaire" - il va traquer les contaminations avec l'obsession d'un détective privé.

De 1975 à 1981, Nelson-Rees publie ses redoutables "hit lists" dans la revue Science, détaillant méthodiquement toutes les lignées contaminées. Chaque publication fait l'effet d'une bombe dans la communauté scientifique.

Nelson-Rees devient le flic solitaire d'un establishment scientifique en déni. Certains l'accueillent comme un sauveur, d'autres le haïssent pour avoir détruit leurs carrières. Il prend sa retraite prématurément en 1981, épuisé par des années de combat contre la mauvaise foi scientifique.

L'épisode russe : la gifle diplomatique de 1972

Novembre 1972, pleine Guerre froide. Une délégation de scientifiques américains visite Moscou. Les Russes, tout fiers, annoncent avoir découvert le virus du cancer humain dans cinq lignées cellulaires différentes. Si c'est vrai, l'URSS vient de remporter la course contre le cancer et d'humilier la science américaine.

Panique à Washington. Les cellules russes sont rapatriées "en grand secret", traitées "avec des gants de chevreau" aux quartiers généraux de la guerre contre le cancer. C'est potentiellement la percée médicale du siècle.


L'Humiliation Diplomatique

Mais voici le coup de théâtre : Walter Nelson-Rees examine les chromosomes des échantillons russes et fait une découverte stupéfiante. Ils sont tous identiques à HeLa. D'une manière ou d'une autre, les cellules d'Henrietta Lacks avaient franchi le Rideau de fer. Le fameux "virus du cancer" que les Soviétiques croyaient avoir découvert ? Un simple virus de singe inoffensif, probablement attrapé pendant le transport des cellules.

"C'était clairement dire que c'était la même lignée cellulaire identique d'Henrietta Lacks... C'était une gifle"

Imaginez : les Soviétiques annoncent fièrement leur découverte révolutionnaire, les Américains paniquent, rapatrient les échantillons dans le secret... pour découvrir que les Russes étudiaient les cellules d'une femme noire de Baltimore depuis des années sans le savoir. La science-fiction de la Guerre froide rattrapée par l'ironie !

24 ans d'ignorance : quand la famille découvre (1975)

1975 : 24 ans après la mort d'Henrietta, un journaliste de Rolling Stone, Michael Rogers, révèle enfin au monde l'identité de HeLa. Problème : il se trompe de nom et l'appelle "Helen Lane". Mais l'info fuite, et en 1976, une équipe de généticiens part à Baltimore chercher la famille Lacks.

Ils débarquent chez Day (le veuf) et les quatre enfants survivants avec des formulaires de consentement et des seringues. Prétexte officiel : "recherche génétique pour voir si le cancer d'Henrietta était héréditaire". Ils prélèvent le sang de toute la famille.

C'est seulement pendant ces prélèvements qu'un des fils comprend enfin :

Ils ont dit qu'ils l'ont juste testé pour voir si ce que ma mère avait était héréditaire. J'ai dit 'vous travaillez sur ses cellules' et il a dit 'oui', il dit 'ses cellules sont encore vivantes' et j'étais vraiment étonné. Et il y a une autre chose qui m'a contrarié : y a-t-il autre chose que je ne sais pas ?
— Fils d'Henrietta Lacks, 1976

Deborah, qui n'avait qu'un an à la mort de sa mère, est particulièrement bouleversée. Elle voulait juste savoir à quoi ressemblait maman, quelle était sa couleur préférée, si elle l'avait allaitée. Apprendre que les cellules maternelles sont "immortelles" sans comprendre ce que ça signifie lui cause une "grande anxiété et douleur".

L'ironie finale : milliards vs pas d'assurance maladie (2025)

Statue d'Henrietta Lacks à Roanoke, Virginie

2023 : La statue d'Henrietta Lacks inaugurée à Roanoke, sa ville natale, remplace le monument de Robert E. Lee - reconnaissance tardive mais symbolique

Aujourd'hui, plus de 74 000 études scientifiques utilisent les cellules HeLa. Elles sont en première ligne contre le COVID-19, Alzheimer, tous les cancers. Le poids total de toutes les cellules cultivées dépasse 50 millions de tonnes. 17 000 brevets américains utilisent HeLa. Une industrie de plusieurs milliards.

Pendant ce temps : les descendants d'Henrietta ont vécu dans la pauvreté la plupart de leur vie. Un des membres de la famille a été SDF. Deborah n'arrivait pas à s'offrir une assurance maladie. Le contraste est saisissant : la famille de la "mère de la médecine moderne" ne pouvait pas se soigner.


La Réconciliation Tardive

En 2023, soit 72 ans plus tard, la famille Lacks signe enfin un accord confidentiel avec Thermo Fisher Scientific. Une victoire symbolique après des décennies de bataille juridique. En 2013, ils avaient déjà obtenu un siège au comité qui régule l'accès au génome HeLa.

Mais peut-être le plus touchant vient des petits-enfants d'Henrietta : "Quand je fais des engagements de prise de parole, les gens viennent me voir et me disent 'j'ai des enfants grâce à votre grand-mère'... C'est un sentiment réchauffant quand vous savez que votre grand-mère est morte mais qu'elle fournit encore la vie."

Explorez d'autres révolutions médicales

Découvrez comment d'autres découvertes fortuites ont transformé la médecine dans des circonstances extraordinaires

Retour aux articles